Đó là trường hợp bệnh nhân N.H.V. (31 tuổi, ngụ tại huyện Hóc Môn) vừa được tiếp nhận điều trị tại một bệnh viện tư nhân trên địa bàn TPHCM. Theo bệnh sử , anh V. nhập viện cấp cứu trong tình trạng đau vùng bẹn bên phải kéo dài nhiều ngày.

Các bác sĩ đã thực hiện cuộc phẫu thuật đưa tinh hoàn từ ổ bụng về vị trí tự nhiên ở vùng bìu
Bác sĩ cho biết, bệnh nhân bị đau liên tục kèm cảm giác thắt nghẹt, vùng bẹn bên phải nổi khối phồng, ấn đau, khối phồng tăng kích thước khi vận động. Đặc biệt, trong quá trình thăm khám, các bác sĩ phát hiện anh chỉ có một tinh hoàn bên trái. Anh V. cho biết từ lúc sinh ra, anh đã được phát hiện chỉ có tinh hoàn, nghĩ là do bất thường bẩm sinh chỉ có 1 tinh hoàn nên gia đình và anh cũng không đi thăm khám.
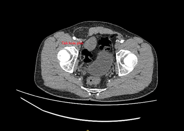
Qua kiểm tra hình ảnh, bác sĩ phát hiện khối thoát vị bẹn , đồng thời tìm thấy tinh hoàn bên phải trong ổ bụng nằm cạnh bàng quang của bệnh nhân. Sau hội chẩn, các bác sĩ đã quyết định thực hiện phẫu thuật cho người bệnh.
Trong quá trình phẫu thuật, ê kíp bác sĩ đã đưa các tạng thoát vị vào trong ổ bụng. Các bác sĩ đã thám sát và xác định tinh hoàn bên phải của bệnh nhân có kích thước tương đương tinh hoàn còn lại. Tinh hoàn bên phải nhanh chóng được giải phóng và đưa từ ổ bụng về vị trí sinh học ở vùng bìu cho bệnh nhân. Sau phẫu thuật, sức khỏe người bệnh nhanh chóng bình phục.
Theo phân tích chuyên môn của bác sĩ, khi còn giai đoạn bào thai, tinh hoàn xuất hiện trong bụng gần thận. Tới tháng thứ 7, tinh hoàn bắt đầu di chuyển xuống bẹn. Di chuyển xuống bìu muộn nhất là khoảng tháng thứ 6 sau sinh. Khoảng 1% bé trai đủ tháng phát hiện tinh hoàn ẩn ở thời điểm 1 tuổi. Đây là một dị tật bẩm sinh, bé trai sinh ra mà một hoặc cả hai tinh hoàn không di chuyển xuống bìu, nằm ở vị trí khác ngoài bìu.

Bệnh nhân đã tìm đủ 2 tinh hoàn sau 31 năm tưởng bị khuyết tật bẩm sinh
Bác sĩ cho biết, hầu hết trường hợp bị tinh hoàn ẩn chỉ xảy ra 1 bên, tinh hoàn ẩn 2 bên chỉ chiếm khoảng 10% số trẻ bị tinh hoàn ẩn. Thông thường khoảng 60% – 85% tinh hoàn ẩn nằm ở phần trên của bìu và trong ống bẹn, khoảng 15% có thể nằm ở trong ổ bụng hoặc các vị trí khác.
Tinh hoàn ẩn nếu không được phát hiện và điều trị sớm có khả năng xảy ra các biến chứng như xoắn tinh hoàn, chấn thương tinh hoàn, giảm khả năng sinh sản, ung thư tinh hoàn, thoát vị bẹn. Bác sĩ khuyến cáo, khi trẻ không có tinh hoàn hoặc chỉ có 1 tinh hoàn, phụ huynh cần đưa đi kiểm tra và can thiệp sớm.